ADVERTENTIE

Röntgenfoto onthult honderden gouden naalden in knieën van vrouw

ADVERTENTIE
ADVERTENTIE

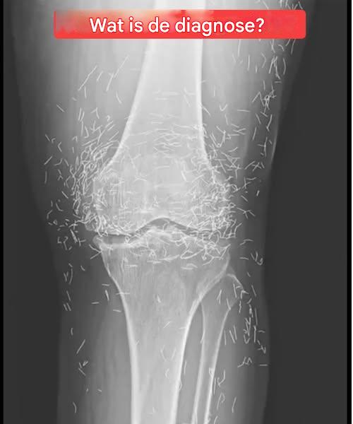
Toen artsen een röntgenfoto bekeken van de knieën van een oudere vrouw die leed aan ernstige gewrichtspijn, ontdekten ze een goudmijn: honderden kleine gouden acupunctuurnaaldjes die in haar weefsel waren achtergebleven.

De 65-jarige Zuid-Koreaanse vrouw leed aan artrose, een ziekte die gekenmerkt wordt door de afbraak van kraakbeen en bot in haar gewrichten, wat pijn en stijfheid veroorzaakt. Toen pijnstillers en ontstekingsremmers haar kniepijn echter niet verlichtten en alleen maagklachten veroorzaakten, wendde ze zich tot acupunctuur, schreven artsen vorige week in het New England Journal of Medicine.

Acupunctuur is een alternatieve geneeswijze waarbij naalden worden gebruikt om bepaalde punten op het lichaam te stimuleren, pijn te verlichten of verschillende ziekten te behandelen.

Tijdens de acupunctuurbehandeling van de vrouw werden de naalden, waarvan men dacht dat ze van goud waren, opzettelijk in haar weefsel gelaten om voortdurende stimulatie te bewerkstelligen, aldus het rapport.

 

Als je wilt doorgaan, klik op de knop onder de advertentie ⤵️

Lees verder door hieronder op de knop (VOLGENDE 》) te klikken !

ADVERTENTIE
ADVERTENTIE